
La Hernia de Spiegel, como cualquier hernia, se define como el paso o protusión de un saco peritoneal, órgano o grasa preperitoneal a través de un defecto congénito o adquirido, en este caso a través de la aponeurosis de Spiegel (zona de entre la línea semilunar de la pared abdominal anterior y el borde externo del músculo recto anterior)
Es una patología muy poco frecuente, representando menos del 1% de las hernias de pared abdominal.

Este tipo de hernia se puede presentar a cualquier edad y no hay distinción en cuanto al sexo, aunque predomina en la cuarta década de la vida.
Causas de la hernia de Spiegel
- Debilidad congénita de la fascia de Spiegel: Defectos presentes desde el nacimiento.
- Trauma abdominal: Lesiones que debilitan la pared abdominal.
- Cirugías abdominales previas: Cicatrices quirúrgicas que aumentan el riesgo.
- Obesidad: Aumenta la presión intraabdominal, favoreciendo la formación de hernias.
- Esfuerzos físicos repetitivos: Por ejemplo, levantamiento de objetos pesados.
Su disposición anatómica entre las diferentes capas músculoaponeuróticas de la pared abdominal dificulta su palpación, por lo que también es conocida como hernia oculta.
La hernia de Spiegel no presenta un sintomatología característica. El dolor inicialmente intermitente, a punta de dedo, que se intensifica con la maniobras de esfuerzos, puede presentarse sordo, de localización imprecisa y larga evolución.
Las complicaciones son con frecuencia la oportunidad para su diagnóstico. La incidencia de incarceración es de aproximadamente el 20%, mientras que la estrangulación ocurre entre el 8 y el 14%.
La mayor dificultad para su diagnóstico se encuentra cuando el saco herniario se halla reducido y no es posible palpar el orificio herniario o ni siquiera es apreciable una zona de sensibilidad dolorosa sugestiva en el momento de la exploración. Por lo que ante la sospecha clínica es recomendable el uso de pruebas complementarias para su diagnóstico.
Diagnóstico de la hernia de Spiegel
- Exploración física: Identificación de una masa dolorosa en la línea semilunar.
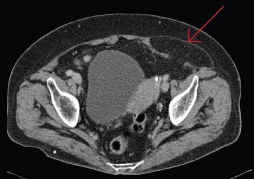
- Tomografía computarizada (TC): Método de elección para confirmar la localización y el contenido de la hernia.
- Ecografía abdominal: Utilizada para evaluar hernias menores o pacientes con sospecha clínica.
- Resonancia magnética (RM): En casos donde se necesite mayor detalle anatómico.

El tratamiento quirúrgico de la hernia de Spiegel tiene como objetivo reparar el defecto en la musculatura y devolver los órganos o tejidos protruidos a su posición normal, asociando la colocación de una malla o material protésico.




Se puede realizar mediante abordaje abierto, o según nuestra experiencia, preferentemente mediante abordaje laparoscópico, puesto que supone:
- Menos dolor postoperatorio inmediato
- Recuperación más rápida
- Reincorporación laboral en 48-72h
- Vuelta a la actividad física en 2-3 semanas
- Incidencia de dolor crónico más baja
- Menor incidencia de infección de la herida y la malla
- Ingreso menor de 24 h en la mayoría de pacientes
- Heridas más estéticas


Para cualquier duda que tengan sobre ésta u otra patología, no duden en consultarnos a través de cualquiera de nuestras plataformas:
CITA ONLINE
TopDoctors: https://www.topdoctors.es/doctor/federico-grasa-gonzalez
CITA ONLINE
Doctoralia: https://www.doctoralia.es/federico-grasa-gonzalez/cirujano-general/malaga
RONDA
Clínica Dr. Rueda. Calle Molino 7, 29400 Ronda, Málaga. 744 72 38 23
RONDA
Centro Médico Adeslas Ronda. Plaza San Juan de la Cruz, s/n 952876598 / 952870313 / 623037555
MARBELLA
Hospital Ochoa. Paseo Marítimo de Marbella, Edif. Mayoral s/n. 623037555
